We are excited to annouce that our already established and experienced cardiovascular interventional service is expanding and can now offer minimal invasive, interventional closure of intra-hepatic portosystemic shunts.
We are now able to offer interventional, coil embolisation of intra-hepatic portosystemic shunts using a novel technique not being performed elsewhere in the UK. This technique was developed at the University of Giessen, Germany, by one of the most experienced veterinary interventionalists in mainland Europe. Specialists at SCVS have gained access to this novel technique by working with the staff at the University of Giessen and are excited to now offer the procedure at our established facility.
An intra-hepatic portosystemic shunt is a congenital abnormality affecting the vasculature of the liver. While single, extra-hepatic shunt vessels are encountered more commonly than intra-hepatic variants, intra-hepatic shunts may account for up to ~30% of congenital hepatic vascular anomalies in dogs. The often complex anatomy and position of intra-hepatic shunt vessels makes them less amenable to surgical attenuation when compared to the extra-hepatic variant and interventional closure of the shunt vessel is usually the treatment of choice.
The novel technique offered at SCVS avoids the need for stent placement within the caudal vena cava and closes the shunt at a different level compared to the stent & coil technique. This avoids the risk of the development of collateral veno-venous shunts which is a reported problem in the stent & coil embolization technique.
The hepatic vasculature is approached through an access catheter placed within the jugular vein. A single, large coil is carefully positioned within the shunt vessel with portal pressures and blood flow checked before, during and after coil placement. A complex and well tested heparinisation protocol allows for controlled closure of the shunt vessel avoiding complications of severe portal hypertension and allowing gradual complete shunt closure in most patients even if only very little portal branching is present. Complete shunt closure is important for a good long term outcome. The novel aspects of this technique lead to relatively low complication and high success rates. With the cardiology, internal medicine and radiology service working closely together to offer this procedure at SCVS, all patients get a truly multidisciplinary approach with gold standard care and advice offered before, during and after the procedure.

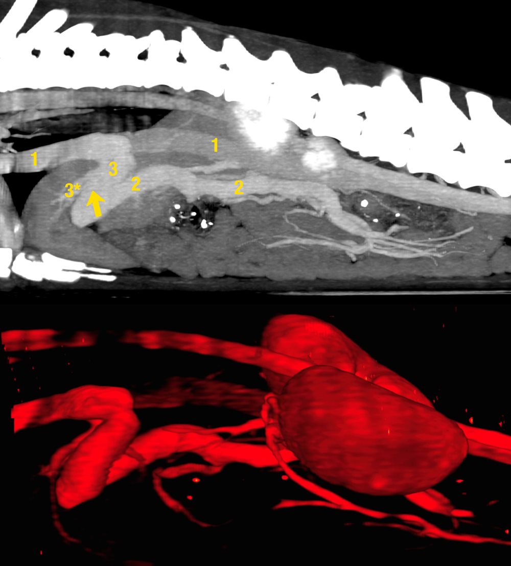
Image above: CT-Angiogram demonstrating the intrahepatic shunt which connects the portal vein with the hepatic vein and caudal vena cava.
1 Caudal Vena Cava
2 Portal Vein
Arrow location of shunt occlusion. At SCVS the Shunts are occluded at the level between the last portal branch leaving the portal vein and the first hepatic vein branch joining the hepatic vein. This technique avoids the problem of collateral shunts forming following shunt occlusion which is a problem with the stent-coil technique.
3 Hepatic vein
3* Hepatic vein branch
Other interventional / minimally invasive procedures offered at SCVS include:
Cardiology
• PDA closures – our transvenous approach allows minimal invasive PDA closure in patients as small as 1kg up to large bread dogs with large PDA vessels.
• Balloon valvuloplasty of pulmonic stenosis and aortic stenosis - we use high quality high pressure balloon catheters to assure the best possible outcome.
• Pacemaker implantation – we fit single and dual chamber pacemakers. Dual chamber pacemakers allow patients with 3d degree AV block to regulate their heart rate in a normal way. Dual chamber pacemakers are the most common pacemaker type used in human medicine. We give this benefit also to dogs and offer best possible programming of the pacemaker by offering pacemaker recheck clinics in co-operation with a human physiologist.
• Interventional management of less common and rare conditions – we also approach less common conditions like cor-triatum dexter, stenting of vessels compressed by neoplasia, and we even successfully retrieved a guidewire which was lost by the referring vet while placing a central venous catheter in the caudal vena cava
• We also offer ECG-gated cardiac multi-slice CT as pre-interventional workup where needed to ensure best and safest procedure planning.
Respiratory
• Balloon dilation for nasopharyngeal stenosis
• Minimally invasive treatment of nasal aspergillosis
• Tracheal stenting
Urology
• Percutaneously placed, low-profile cystotomy tubes - suitable for long-term management of functional (eg reflex dyssynergia) or structural (eg TCC) urethral obstruction
• Subcutaneous ureteral bypass (SUB) for uni or bilateral ureteral obstruction
Gastrointestinal
• Balloon and balloon-oesophagostomy tube management of oesophageal strictures
• Endoscopic polypectomy
• Endoscopic and fluoroscopy-guided foreign body removal
To refer case to our interventional service, please click here.